Gultepe Mh. Mustafa Simsek Cad. Park Apartments no:24/a, 38140 Melikgazi/Kayseri Turkey

General Information

Oral Diagnosis: A Vital Step for Optimal Oral Health

Oral Diagnosis: A Vital Step for Optimal Oral Health

Oral health is an important part of our general health and there is an important process called "Oral Diagnosis" in protecting this health.

How Does Dental Floss Keep Your Mouth Healthy?

How Does Dental Floss Keep Your Mouth Healthy?

Flossing is just as important as brushing. It keeps your teeth and gums clean and keeps your mouth healthy. Flossing should be done at least once a day to eliminate the risk of plaque and therefore tooth decay or gum disease.

Porcelain Veneers: Give Your Teeth the Best Natural Look and Strength

Porcelain Veneers: Give Your Teeth the Best Natural Look and Strength

Porcelain veneers are very popular among the many types of dental veneers available. They're attractive, efficient, and ultra-thin to fit. They create more beautiful smiles.

Dental Health: Controlling Your Child's Sugar Addiction

Dental Health: Controlling Your Child's Sugar Addiction

Child sugar addiction is no surprise to most parents. You must have tried many tricks to prevent your kids from sweet cravings. Many of you may have succeeded and others may have failed.

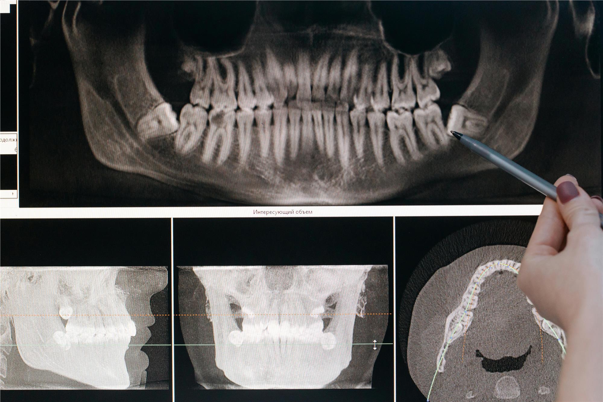
Dental X-rays

Dental X-rays

Dental x-rays can help your dentist detect oral health problems, especially problems such as cavities and gum disease, before they get worse. There are many different types of dental x-rays, including intraoral and extraoral. Dental x-rays are an important tool for proper oral health and care.

Are Dental Implants Safe?

Are Dental Implants Safe?

In most cases, the dental implant procedure is safe if the doctor recommends it. However, you may not be a candidate for implant treatment due to some reasons such as smoking.

What is the lifespan of an implant?

What is the lifespan of an implant?

One of the most frequently asked questions about dental implants is, "How long is the implant lifespan?" is the question. If you want to learn how long implants can really last and discover tips for having a healthy oral structure for many years, this guide is for you! Read on to learn how long implants last, whether they can be used for a lifetime, and the details you should pay attention to in implant care. Don't miss the secret of having healthy and long-lasting teeth!

When Do Milk Teeth Fall Out?

When Do Milk Teeth Fall Out?

When will your child's milk teeth start to fall out? When does the first tooth fall out, in what order do milk teeth fall out and how long does this process take? Read our guide to discover all the details you need to know about your child's dental development. Don't miss the importance of intervening at the right time for your child's healthy dental development!

×
WhatsApp